Thursday, October 16, 2025
Salud Dental con la Dr. Bernarda Alcántara

La enfermedad periodontal – Salud dental con la Dr. Bernarda Alcántara

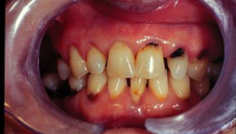
La enfermedad periodontal es una patología de alta incidencia y tiene un impacto significativo en enfermedades crónicas no transmisibles, como la Diabetes Mellitus. La Dra. Bernarda nos brinda información sobre los síntomas y los tratamientos disponibles.

Leave a Reply