Thursday, January 15, 2026
Salud Dental con la Dr. Bernarda Alcántara

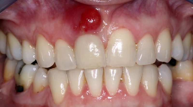
Cómo prevenir las infecciones dentales – Salud dental con la Dr. Bernarda Alcántara

  • La Dr. Bernarda nos explica a detalle que son las infecciones dentales, qué podemos hacer ante ella para sanarla y qué prevenciones podemos tomar para no padecerla.
  • Si quieres cuidar tu dentadura, te animamos a escuchar a la Dr. Bernarda.

Leave a Reply